×
اجتماعی
شناسه خبر : 275623
تاریخ انتشار : دوشنبه 1404/11/27 ساعت 04:02
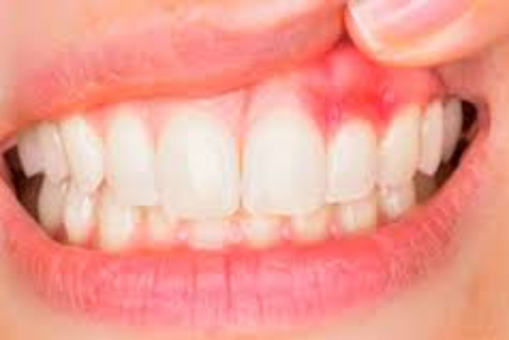
برچسبی که التهاب لثه را تشخیص می‌دهد!

برچسبی که التهاب لثه را تشخیص می‌دهد!

یک برچسب که در دهان کاربر قرار می‌گیرد، می‌تواند التهاب لثه را در مراحل اولیه تشخیص دهد.

نورنیوز- گروه اجتماعی: تشخیص بیماری لثه در حال حاضر به دندانپزشکی و معاینه بصری نیاز دارد و اغلب تنها پس از آغاز آسیب بافتی، مشکلات لثه تشخیص داده می‌شوند.

به نقل از مدیکال اکسپرس، پژوهشگران «دانشگاه تگزاس ای اند ام»(Texas A&M) برای تغییر مراقبت از واکنشی به پیشگیرانه، یک حسگر زیستی پوشیدنی و قابل چسبیدن به بافت را مهندسی کرده‌اند که نشانگرهای زیستی التهابی را در دهان با دقت مولکولی تشخیص می‌دهد.

دکتر «چنگلین وو»(Chenglin Wu)، دانشیار مهندسی عمران و محیط زیست، یک حسگر چندلایه را ساخته و آزمایش کرده است که می‌تواند در محیط مرطوب دهان عمل کند و هنگام صحبت کردن و غذا خوردن همچنان متصل باقی بماند. لایه حسگر تخصصی این پچ، پروتئین «فاکتور نکروز تومور آلفا»(TNF-⍺) را هدف قرار می‌دهد که یک نشانگر زیستی کلیدی برای التهاب است.

لایه حسگر ساخته‌شده از گرافین-مکسین می‌تواند کاوشگرهای خاصی را که فقط به پروتئین مورد نظر متصل می‌شوند، به هم متصل کند. این لایه دارای رسانایی ذاتی است و هنگامی که مولکول‌هایی مانند پروتئین مورد نظر به هم متصل می‌شوند، امکان اندازه‌گیری تغییر بار را فراهم می‌کند.

وو گفت: برای درک بهتر توجه داشته باشید که یک بیمار مبتلا به عفونت ویروسی ممکن است علائمی را با ۱۰ میلیون یا یک میلیارد کپی ویروس در هر میلی‌لیتر نشان دهد. حسگر ما می‌تواند ۱۰۰ تا ۱۵۰ کپی را در هر میلی‌لیتر تشخیص دهد.

دستیابی به این حساسیت می‌تواند چالش‌برانگیز باشد؛ به ویژه اگر نشانگرهای زیستی ناخواسته نیز شناسایی شوند. با وجود این، لایه‌های بیرونی به بهبود گزینش‌پذیری برچسب کمک می‌کنند. این هیدروژل قابل چسبیدن به بافت دارای یک لایه هیدروژل با نفوذپذیری انتخابی است که به فیلتر کردن مولکول‌های ناخواسته کمک می‌کند.

وو گفت: همکار من در «دانشگاه ایالتی میشیگان»(MSU) یک منفذ بسیار کوچک را طراحی کرد که فقط به نشانگرهای زیستی کوچک‌تر اجازه عبور می‌دهد. ترکیب آن با کاوشگر بسیار گزینشی متصل به لایه حسگر، گزینش‌پذیری دقیقی را ایجاد می‌کند.

دکتر «شائوتینگ لین»(Shaoting Lin)، دانشیار مهندسی مکانیک دانشگاه ایالتی میشیگان به توسعه هیدروژل قابل چسبیدن به بافت و هیدروژل نفوذپذیر انتخابی کمک کرد. چسبندگی قوی به بافت، به دقت لایه حسگر نیز کمک می‌کند. لین گفت: اندازه‌گیری‌های حسگر می‌توانند به طور قابل توجهی تحت تأثیر حرکت پویای بافت‌ها قرار بگیرند. پیوند بافتی قوی‌تر، عملکرد قابل اعتمادتری را برای حسگر مستقل از انعطاف‌پذیری آن فراهم می‌کند.

لایه نفوذپذیر انتخابی مانند یک شبکه توری عمل می‌کند و فقط به مولکول‌هایی با اندازه خاص اجازه عبور می‌دهد. تعامل شیمیایی بین لایه و نشانگرهای زیستی نیز ممکن است در گزینش‌پذیری نقش داشته باشند. لین ادامه داد: ما به طور سیستماتیک چند مولکول زیستی با اندازه مشابه را آزمایش کردیم. به دلیل تعامل بین مولکول زیستی و شبکه پلیمری اطراف، گزینش‌پذیری افزایش یافته‌ای وجود دارد که انتقال مولکول‌های زیستی گوناگون را متمایز می‌کند.

پژوهشگران این برچسب غیرتهاجمی را با کمک دکتر «جفری سیریلو»(Jeffrey Cirillo)، استاد دانشکده پزشکی تگزاس ای اند ام آزمایش کردند. لین و وو به مهندسی مواد برچسب پرداختند و سهم سیریلو بر جنبه بیولوژیکی و ارزیابی کاربردهای بالینی متمرکز بود.

سیریلو گفت: آزمایشگاه من تجربه زیادی در کار کردن با بیماران و مدل‌های حیوانی گوناگون دارد. در این مورد، ما تصمیم گرفتیم از خوکچه هندی استفاده کنیم، زیرا کار با آنها نسبتاً آسان است و تعدادی از ویژگی‌های مشابه با انسان را به‌ویژه در التهاب دهان دارند. پروتئین TNF-⍺ یک سیتوکین است که تقریباً همیشه در التهاب مرتبط با عفونت‌ بافت‌های نرم نقش دارد. هدف این بود که ببینیم آیا این نوع سیستم، امکان تشخیص سریع و در محل مراقبت را فراهم می‌کند.

دکتر «هاجیمه ساساکی»(Hajime Sasaki)، دانشیار دندانپزشکی دانشگاه میشیگان، اهمیت تشخیص TNF-α در حفره دهان را تشخیص داد و اطلاعات ارزشمندی را درباره نشانگرهای زیستی و بیماری‌های دندانی ارائه کرد.

عفونت‌های دهان می‌توانند به بروز مشکلات جدی برای سلامتی مانند بیماری لثه و از دست دادن دندان منجر شوند و در صورت عدم درمان ممکن است شدت آنها افزایش یابد. توانایی تشخیص سریع عفونت‌ها پیش از بروز علائم می‌تواند مراقبت‌های بهداشت دهان و دندان را از اقدامات واکنشی به اقدامات پیشگیرانه تغییر دهد.

حیوانات مورد استفاده در این مطالعه صرفاً برای نشان دادن کارآیی این مفهوم به کار رفتند. آزمایش‌های بالینی آینده روی حیوانات و در نهایت روی انسان‌ها، گام‌های بعدی برای این سیستم خواهند بود.

با توجه به تطبیق‌پذیری مواد مورد استفاده، پژوهش‌های آینده می‌توانند این نوع حسگر زیستی را با سایر قسمت‌های بدن و با نشانگرهای زیستی گوناگون نیز تطبیق دهند.

این پژوهش در مجله «Science Advances» به چاپ رسید.


ایسنا
نظرات

آخرین اخبار
افزایش بی‌سابقه قیمت بلیط‌های جام جهانی
سی‌ بی‌ اس: سرنشینان بالگرد آمریکایی در علمیات نجات جنگنده اف- 15ای زخمی شدند
پزشکیان: ملت‌های دوست و برادر در هنگامه سختی‌ها و تنگناها یکدیگر را باز می‌یابند
طوفان سهمگین شهر گوئیانگ در جنوب غربی چین را درنوردید
نماینده کنگره آمریکا: آسمان ایران در اختیار آمریکا نیست
مشاور پیشین کلینتون‌ها: دست و پای ترامپ بسته شده، اما دهانش نه!
حملات حزب‌الله به نیروهای اسرائیلی در جنوب لبنان
توقف تولید آلومینیوم در امارات و بحرین پس از حملات ایران
تحلیل‌گر آمریکایی: فقط شکست در انتظار ماست!
گری سیک: ناکامی در پیش‌بینی وقوع انقلاب اسلامی، بزرگترین شکست اطلاعاتی آمریکا بود
وال‌استریت‌ژورنال: آمریکا جمعه متحمل یک شکست دوگانه شد
کنایه نماینده کنگره به ترامپ: به لانه زنبور لگد زدی!
جلسه فوری تیم امنیت‌ ملی ترامپ در پی سرنگونی جنگنده‌های آمریکایی
آغاز موج 93 عملیات وعده صادق 4/ وحشت صهیونیست‌ها با حملات سنگین موشکی ایران
سفارت ایران: انگلیس در سمت درست تاریخ بایستد
عضو مجلس نمایندگان آمریکا: ترامپ نمی‌داند چگونه به جنگ علیه ایران پایان دهد
جنگ طولانی در خلیج فارس حتمال بروز قحطی در جهان را به دنبال دارد
مقام روس: جنگ با ایران یک اشتباه ژئوپلیتیک جدی از سوی ایالات متحده و اسرائیل است
گزارش جدید نیویورک تایمز از وضعیت ذخایر موشکی ایران
زلزله 3.3 عسلویه را لرزاند
سناتور روس نسبت به عواقب تداوم درگیری‌ها در خاورمیانه هشدار داد
شکاف در اردوگاه ترامپ بر سر برکناری رئیس ستاد ارتش آمریکا
نیروی دریایی سپاه: وقت برکناری فرمانده نیروی هوایی آمریکا رسیده
الگوی انسجام ملی در بیانات رهبر شهید
ایران با خلبانان امریکایی به شیوه عصر حجر برخورد کند یا متمدنانه!
پرسش معنادار قالیباف دربارهٔ سهم تنگهٔ باب المندب در تجارت جهانی
نگرانی سناتور آمریکایی از تداوم جنگ با ایران
نظامیان صهیونیستی زیر ضربات مقاومت لبنان
3 دلیل تراکتور برای نرفتن به عربستان در نامه به AFC
نشریه آمریکایی از تلاش پنتاگون برای پنهان‌سازی تلفات جنگ با ایران پرده برداشت
واکنش پزشکیان به ادعای مذاکره آمریکایی‌ها
آیت الله فاضل لنکرانی به پویش «جانفدا برای ایران» پیوست
تشریح جزئیات روز سی و پنجم عملیات وعده‌ صادق 4
حساب جدید سردار سیدمجید موسوی در شبکه اجتماعی ایکس
تاسیسات گازی ابوظبی دچار خسارت جدی شد
روز سیاه نیروی هوایی آمریکا و رژیم صهیونیستی در آسمان ایران
سفر ملونی به خاورمیانه با هدف تامین انرژی مورد نیاز ایتالیا
سردار محبی مسئول جدید روابط عمومی سپاه شد
خلبان مفقودشده همچنان پیدا نشده است/ ادامه عملیات جستجو در کهگیلویه و بویراحمد
سازمان جهانی بهداشت خواستار حمایت فوری از ایران و کشورهای جنگ‌زده منطقه شد
فرید زکریا: جنگ آمریکا علیه ایران یک گل به خودی راهبردی است
ادامه حملات دشمن آمریکایی-صهیونی به ایران/درگیری متفاوت پدافند هوایی در تهران با جنگنده ها
گفت و گوی تلفنی وزیران خارجه ایران و ترکیه
پدافند ایران 2 بالگرد آمریکایی را حین عملیات نجات هدف گرفت
واکنش ترامپ به سقوط جنگنده‌های آمریکایی
قدردانی ویژه عباس جمشیدی‌فر از هلال احمر، آتش‌نشانی و کادر درمان
داودمیرباقری: ملت ایران از یورش دشمن سرافراز بیرون می‌آید
حمله اسرائیل به مناطق مرزی قنیطره سوریه
رئیس دانشگاه تهران خواستار مقابله به مثل در قبال حمله به دانشگاه بهشتی شد
مدرسه تلویزیونی برای دانش آموزان از فردا روی آنتن می رود